ما الذي يسبب استسقاء الرأس؟
هناك تصنيفان عامان لاستسقاء الرأس، استسقاء الرأس الانسدادي واستسقاء الرأس التواصلي. ينشأ استسقاء الرأس الانسدادي عندما تكون مسارات دوران السائل الدماغي الشوكي مسدودة ولكن قنوات إعادة الامتصاص مفتوحة. يمكن أن ينجم هذا الانسداد عن تشوهات تشريحية خلقية، أو عن أورام المخ التي تخنق المسارات الطبيعية لدورة السائل الدماغي الشوكي أثناء نموها. ينشأ استسقاء الرأس التواصلي عندما تصبح آلية إعادة الامتصاص مسدودة ولكن مسارات دوران السائل الدماغي الشوكي تكون مفتوحة. أي عملية مرضية تؤدي إلى إطلاق البروتين والحطام في السائل الدماغي الشوكي يمكن أن تؤدي إلى الإصابة باستسقاء الرأس. يمكن أن يؤدي نزيف الدماغ وأورام الدماغ، وحتى الحالات المعدية أو الالتهابية، إلى إطلاق الحطام في السائل الدماغي الشوكي. يسد هذا الحطام قنوات إعادة الامتصاص الطبيعية مما يؤدي إلى تراكم السوائل في الدماغ. عادة ما يحدث إنتاج الكثير من السائل الدماغي الشوكي بسبب ورم نادر في المخ يسمى ورم الضفيرة المشيمية الحليمية.
كيف يتم تشخيص استسقاء الرأس؟
يمكن أن يؤدي استسقاء الرأس إلى زيادة الضغط داخل الجمجمة. يمكن أن يؤدي هذا الضغط المرتفع داخل الجمجمة إلى الصداع والغثيان والقيء والخمول وفقدان الرؤية وحتى مشاكل في حركة العين. في الأطفال الصغار الذين لديهم جماجم غير مدمجة، قد يزيد حجم رؤوسهم بمعدل غير عادي. بمجرد الاشتباه في استسقاء الرأس، يتم تأكيد التشخيص من خلال التصوير المقطعي أو التصوير بالرنين المغناطيسي للدماغ.
كيف يتم علاج استسقاء الرأس؟
يتم علاج جميع أشكال استسقاء الرأس المصحوبة بأعراض تقريبًا عن طريق الجراحة. في حالة استسقاء الرأس الانسدادي، يكون الهدف من الجراحة هو تخفيف الانسداد. إذا كان الانسداد ناتجًا عن كتلة متضخمة في الدماغ (مثل ورم أو عدوى أو جلطة دموية)، فإن إزالة هذه الكتلة قد تعيد فتح المسارات الطبيعية لدورة السائل الدماغي الشوكي. في بعض أشكال استسقاء الرأس الانسدادي، يمكن إجراء “فغر البطين الثالث” لتجاوز الانسداد. يتم علاج المرضى الذين يعانون من استسقاء الرأس المتصل وبعض المرضى الذين يعانون من استسقاء الرأس الانسدادي عن طريق زرع تحويلة. التحويلة عبارة عن جهاز مزروع يحول السائل الدماغي الشوكي من الدماغ إلى مكان بعيد في الجسم حيث يمكن إعادة امتصاصه. المكان الذي يتم تحويل السائل الدماغي الشوكي إليه هو عادة التجويف البريتوني (المنطقة المحيطة بأعضاء البطن). نادرًا ما تؤدي التحويلة إلى تحويل السائل الدماغي الشوكي إلى الصدر أو القلب أو حتى المرارة.

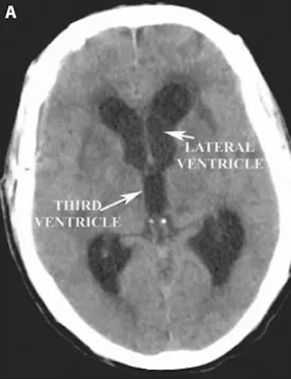
أ) التصوير المقطعي المحوسب للرأس المحوري قبل الجراحة يوضح تضخم البطينين.

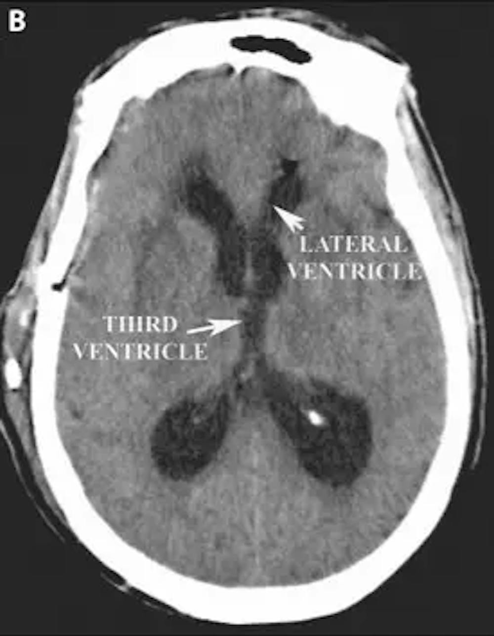
ب) التصوير المقطعي المحوسب للرأس المحوري بعد العملية الجراحية يُظهر انخفاضًا في حجم البطينين الجانبي والثالث بعد وضع التحويلة.


